
기흉은 흉강 내에 공기가 채워져 폐가 정상적으로 팽창하지 못하는 상태를 말합니다. 이 질환은 생명을 위협할 수 있으므로, 정확한 이해와 적절한 대처가 필요합니다. 오늘은 기흉의 원인, 증상, 자가진단 방법, 치료 옵션에 대해 상세히 알아보겠습니다.
기흉이란?

기본적 이해
- 정의: 폐 또는 흉강 내에 공기가 채워지는 상태
- 발생 원리: 흉강 내 음압 공간에 공기가 유입되면서 발생
생리학적 이해
- 흉강 구조: 벽측 흉막과 장측 흉막으로 둘러싸인 공간
- 정상 상태: 흉강 내 소량의 흉수 존재
- 비정상 상태: 공기나 가스 유입으로 인한 기흉 발생
기흉의 원인

일차성 자연 기흉
- 대상: 주로 키가 크고 마른 남성
- 위험 요소: 흡연
이차성 기흉
- 원인: 기존 폐 질환, 교통사고, 수술 등
- 관련 질환: 폐기종, 만성 폐쇄성 폐질환, 결핵 등
외상성 기흉
- 원인: 외상으로 인한 폐 손상
- 진행: 심각한 경우 긴장성 기흉으로 발전 가능
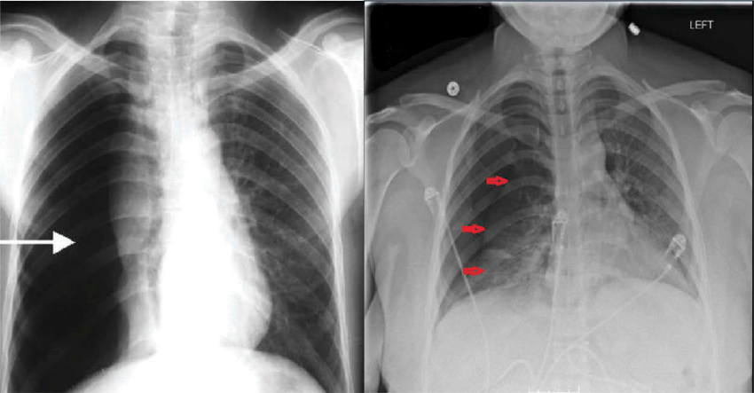
기흉의 증상 및 자가진단

일반적 증상
- 호흡곤란: 폐 압박으로 인한 숨쉬기 곤란
- 가슴 통증: 기흉 발생 시 나타나는 증상
- 마른기침: 폐에 공기가 쌓일 때 발생
- 발작적인 증상: 갑자기 나타나는 기흉의 특성
- 피부의 색 변화: 산소 부족으로 인한 피부색 변화
자가진단 방법
- 주요 관찰 사항: 흉통, 호흡곤란, 심박수 증가, 흉부 비대칭, 피부색 변화
기흉의 치료 옵션

경미한 경우
- 치료 방법: 적절한 산소 투여와 모니터링
심각한 경우
- 치료 방법: 흡인 또는 흉관 삽입
재발성 기흉
- 치료 방법: 흉막유착술, 수술적 치료
기흉의 예방 및 관리

생활습관 조절
- 핵심 요소: 금연
- 추가 조치: 정기적인 건강 검진
재발 방지
- 의료 관리: 정기 검사 및 적절한 치료
- 운동 조절: 특정 운동이나 활동 제한
기흉에 대한 오해와 진실

오해
- 통증의 필수성: 기흉이 반드시 심각한 통증을 동반하는 것은 아님
진실
- 전문가의 중요성: 증상 구별이 어려워 전문가의 진단이 필요
기흉에 좋은 음식

고단백, 고칼륨 식품
- 목적: 근육 기능 유지 및 신체 액체 균형 유지
- 권장 식품:
- 단백질: 닭가슴살, 생선, 계란, 견과류
- 칼륨: 바나나, 감자, 채소류
충분한 수분 섭취
- 중요성: 탄산 가스 및 불쾌감 완화
- 권장 방법: 규칙적인 물 섭취
건강한 지방
- 목적: 염증 감소 및 폐 건강 지원
- 권장 식품: 올리브 오일 등 건강한 지방 함유 식품
항산화 물질 및 비타민이 풍부한 식품
- 목적: 염증 감소 및 면역 시스템 강화
- 권장 식품: 과일, 채소, 견과류, 녹차 등
기흉 관리에 대한 주의사항
- 의료 상담: 증상이 나타나면 즉시 의료 전문가와 상담
- 응급 상황: 갑작스럽거나 심각한 기흉 증상이 있는 경우 응급 상황일 수 있음
기흉은 적절한 예방 조치와 조기 진단, 치료를 통해 관리할 수 있습니다. 본 글이 기흉에 대한 이해를 돕고, 건강한 생활을 유지하는 데 도움이 되길 바랍니다. 어떠한 증상이 나타나더라도 전문가와 상담을 통해 정확한 진단과 치료를 받는 것이 중요합니다.
'건강상식' 카테고리의 다른 글
| 귀가 가렵고 붓는 다면 외이도염 증상 자가진단 이어폰 사용 치료법 (0) | 2024.02.06 |
|---|---|
| 무릎 앞쪽이 아프신가요? 슬개건염 증상 자가 진단 테이핑 법 자연치유 (1) | 2024.02.06 |
| 간헐적 단식 방법 16 : 8 외 2가지 제로 콜라, 커피 마셔도 되나요? (1) | 2024.02.06 |
| 단당류 이당류 다당류 종류 차이점 탄수화물 종류 식단 (1) | 2024.02.05 |
| 성인 ADHD 증상 자가 진단 법 완치 여부 조용한 ADHD 치료법 (0) | 2024.02.05 |